Ответьте на 3 вопроса и получите подарок
Видео-урок «Идеальная улыбка без боли для пациента: 5 шагов»
Онлайн-школа установки керамических виниров без препарирования Magicneers
Станьте профессионалом в установке керамических виниров без препарирования
и уже во время обучения сделайте ваш первый кейс под руководством специалистов
Обучитесь новой запатентованной технологии всего за 7 дней с поддержкой от квалифицированных врачей-стоматологов, находясь в любой точке мира
Получите возможность оказывать эксклюзивную услугу, которой нет на рынке
Обучение у создателя
технологии Magicneers,
практика с 17-летним опытом
Сдача контрольного
кейса и получение сертификации
автор технологии Magicneers
Артавазд Манукян
Пожалуйста, оставьте телефон, по которому мы свяжемся с вами и подробно расскажем об обучении
Вы стоматолог или владелец частной клиники ?
Если вы устанавливаете виниры, то какой у вас стаж работы?
Почему интересуетесь установкой виниров без препарирования?
10 причин выбрать обучение установке виниров
без препарирования от школы Magicneers
Общение в среде действующих стоматологов, главных врачей,
владельцев клиник
Уже во время обучения начнёте работу с вашим пациентом
Отсутствие необходимости
в закупке дополнительного оборудования и материалов для установки
Получите личное
онлайн-сопровождение
вашего первого пациента
от квалифицированного врача
Строгая система контроля результата и ответы на все вопросы от главного врача
У вас будет право пользоваться запатентованной технологией
после получения сертификации
2 Zoom-встречи с Артаваздом Манукяном до и после обучения
с групповой консультацией
Возможность рассрочки на 4, 10 и 12 месяцев
Получите четкое руководство
по внедрению услуги в вашу
клинику, маркетингу и продажам
Включение после успешной сдачи
кейса в список сертифицированных представителей на официальном сайте
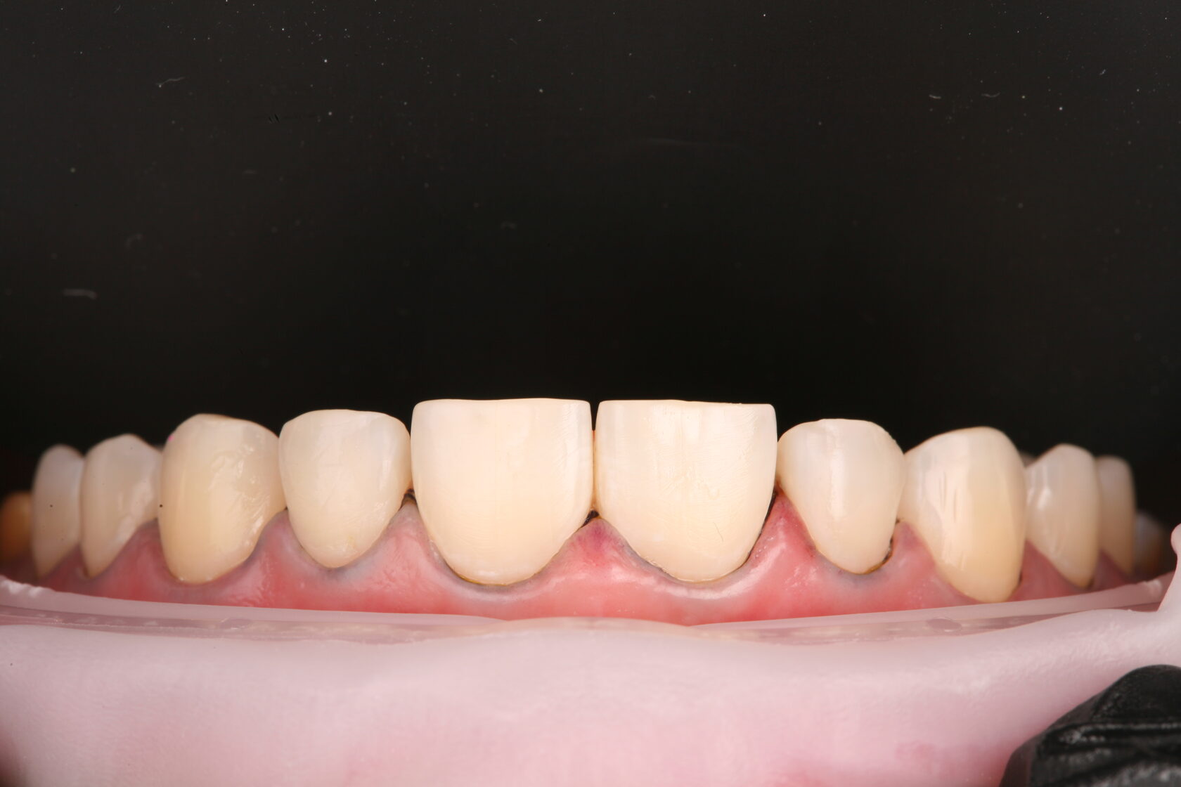
КЕЙС №1
Причина обращения: тотальная стираемость зубов
КЕЙС №2
Причина обращения: обширные клиновидные дефекты
КЕЙС №3
Причина обращения: изменения положения зубов в зубном ряду
Видео-кейсы Magicneers
Кейс №1
Причина обращения
Тотальная истираемость зубов
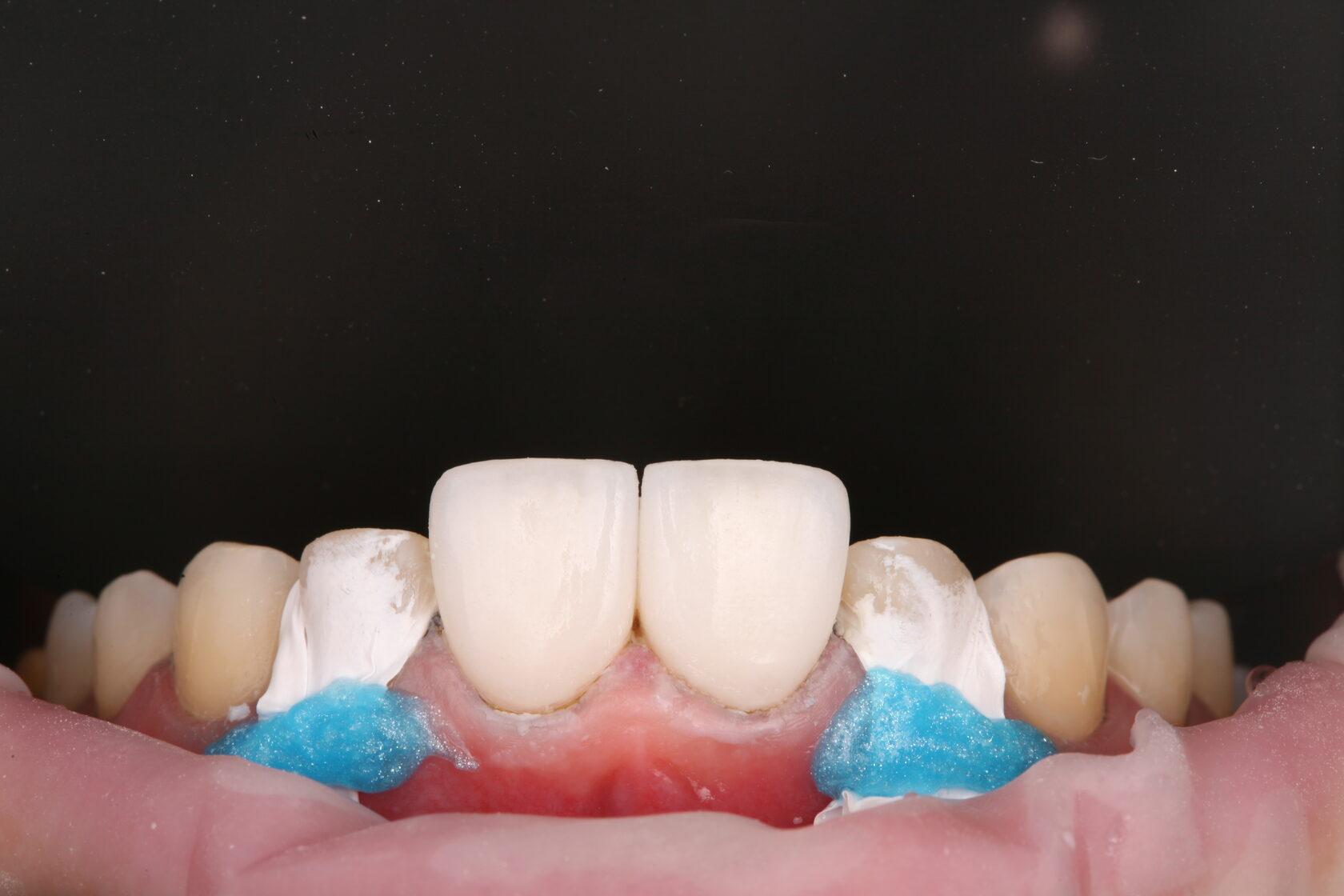
Кейс №2
Причина обращения
Тотальная истираемость зубов
Ретракция
Фиксация двух виниров
Конечный результат
Видео-кейсы Magicneers
Кейс №1
Причина обращения
Тотальная истираемость зубов
Кейс №2
Причина обращения
Тотальная истираемость зубов
Начните свой путь к созданию идеальной эстетической улыбки без боли для пациентов
Полностью обучитесь новой технологии с поддержкой на протяжении всего курса
от квалифицированных врачей-стоматологов или лично от Артавазда Манукяна
ПРОФЕССИОНАЛ
Экзамен: полное сопровождение первого кейса от квалифицированного врача
Право пользоваться запатентованной технологией после получения сертификации
Сертификат участника
Доступ с личным кабинетом на 1 год
Запись всех занятий
78 000 руб.
39 000 руб.
Модуль №9
Результат
Экзамен
Сдаете экзамен на живом кейсе в своей клинике. После успешной сдачи подписываем договор о поставке и получает лицензирование
Zoom - встреча
Результат
После прохождения обучения с Артаваздом и ответы на вопросы
Получили консультацию и ответы на все вопросы от Артавазда Манукяна. Ученики проинформированы полностью об этапах и сроках экзамена
Бонус модуль:
Профилактика ухода за Magicneers
Модуль №8
Фиксация работы: стандартный и укороченный адгезивные протоколы
Умеете фиксировать Magicneers пациенту, проведя грамотно предыдущие этапы работы
Модуль №7
Результат
Результат
Подготовка поверхности зуба и винира к фиксации
Изучили и понимаете, как на практике поэтапно подготовить поверхность зуба к фиксации и выполнить все необходимые работы до процесса непосредственной фиксации виниров
Модуль №6
Результат
Изоляция рабочего пространства
Умеете изолировать полость рта методиками кафердам и сплитдам
Модуль №5
Результат
Регистрация прикуса и лицевая дуга
Знаете, как регистрировать прикус пациенту и умеет пользоваться прибором " Лицевая дуга"
Модуль №4
Результат
Ретракция и слепочные оттиски
Умеете грамотно производить ретракцию, применяя все меры безопасности и не причиняя боли клиенту
Модуль №3
Результат
Избирательное пришлифовывание эмали и регистрация прикуса
Научитесь определить необходимость пришлифовывания эмали с помощью маркировочного бора
Модуль №2
Результат
Примерка формы и фотопротокол
Научитесь производить примерку форм пришедшего планирования и комплексному фото и видео протоколу
Результат
Модуль №1
Планирование виртуальное и аналоговое
Владеете навыками грамотного поэтапного планирования
Программа обучения
Навыки, которые помогут
вам в дальнейшей работе
Начните устанавливать виниры без препарирования
на профессиональном уровне уже через 28 дней
Планирование: виртуальное и аналоговое
Избирательное пришлифовывание эмали
Регистрация прикуса и лицевая дуга
Подготовка поверхности зуба и винира к фиксации
Ретракция и слепочные оттиски
Изоляция рабочего пространства
Фиксация работы: стандартный
и укороченный адгезивные проколы
Более 17 лет обучения у экспертов
-стоматологов с мировым именем:
Артавазд Манукян — основатель
школы Magicneers и сети
премиальных клиник AestheticA
Автор патента на уникальную технологию установки керамических виниров без препарирования: Magicneers
Почетный член международного Колледжа Краниомандибулярной Ортопедии
С 2017 года почётный член Евразийской
ассоциации эстетической стоматологии
и Евразийской ассоциации остеологии,
регенерации и остеоинтеграции
Предоставляя уникальную услугу в своём городе
Видео-отзывы наших учеников,
которые работают по новой технологии
Есть вопросы,
которые остались
без ответа?
Обратитесь в отдел заботы,
и квалифицированные специалисты
подробно разъяснят вам все детали
и помогут определиться с выбором